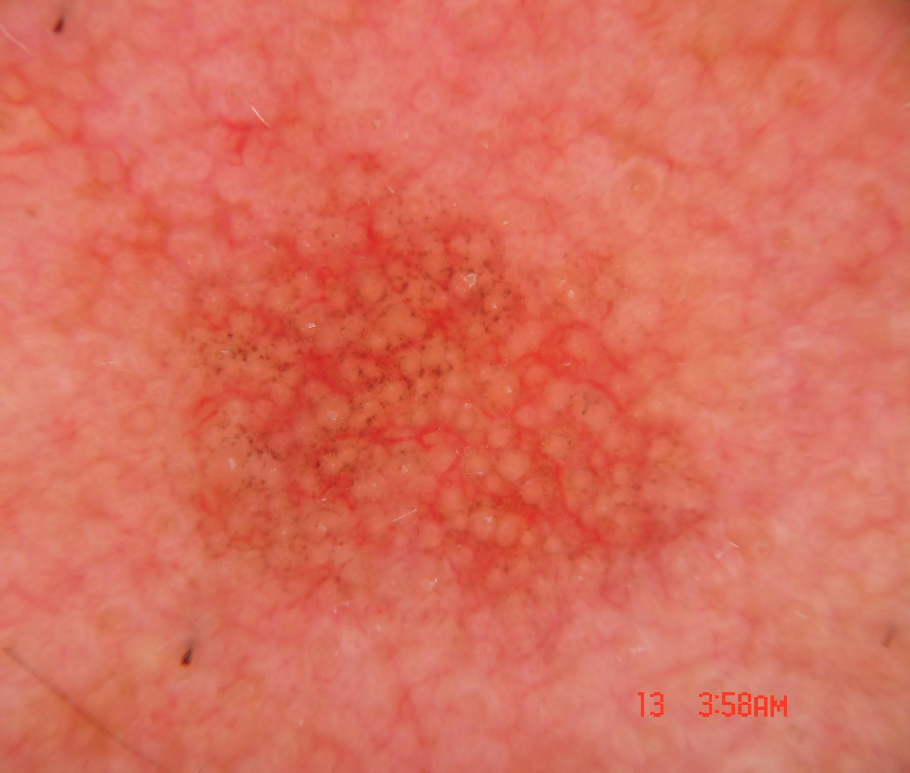
• Name: MSK-2
  • Number of images: 4,880
  • Number of specified lesions: 0
  • Number of specified patients: 842
  • Attribution: View
Description:

Biopsy-confirmed melanocytic and non-melanocytic skin lesions. This dataset includes over 500 melanomas. Many images have polarized and contact variants.