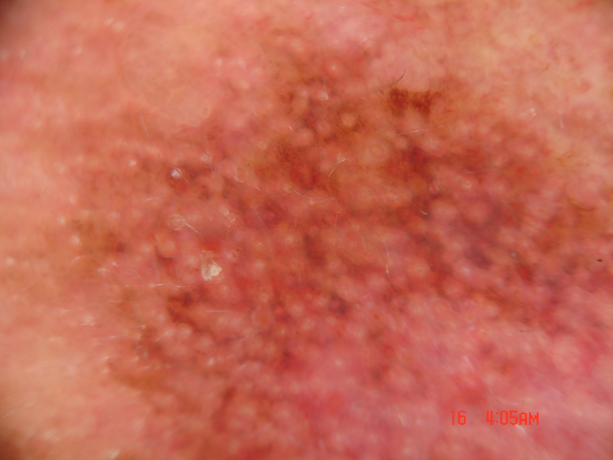
Biopsy-confirmed melanocytic and non-melanocytic skin lesions. This dataset includes over 500 melanomas. Many images have polarized and contact variants.
{
"age_approx": 75,
"anatom_site_general": "lower extremity",
"concomitant_biopsy": true,
"dermoscopic_type": "contact non-polarized",
"diagnosis_1": "Malignant",
"diagnosis_2": "Malignant epidermal proliferations",
"diagnosis_3": "Squamous cell carcinoma, Invasive",
"diagnosis_4": "Squamous cell carcinoma, Invasive, Keratoacanthoma-type",
"diagnosis_confirm_type": "histopathology",
"family_hx_mm": false,
"image_type": "dermoscopic",
"melanocytic": false,
"patient_id": "IP_0008022",
"personal_hx_mm": false,
"sex": "female"
}
{
"age_approx": 75,
"anatom_site_general": "lower extremity",
"concomitant_biopsy": true,
"dermoscopic_type": "contact polarized",
"diagnosis_1": "Malignant",
"diagnosis_2": "Malignant epidermal proliferations",
"diagnosis_3": "Squamous cell carcinoma, Invasive",
"diagnosis_4": "Squamous cell carcinoma, Invasive, Keratoacanthoma-type",
"diagnosis_confirm_type": "histopathology",
"family_hx_mm": false,
"image_type": "dermoscopic",
"melanocytic": false,
"patient_id": "IP_0008022",
"personal_hx_mm": false,
"sex": "female"
}
{
"age_approx": 75,
"anatom_site_general": "lower extremity",
"concomitant_biopsy": true,
"dermoscopic_type": "non-contact polarized",
"diagnosis_1": "Malignant",
"diagnosis_2": "Malignant epidermal proliferations",
"diagnosis_3": "Squamous cell carcinoma, Invasive",
"diagnosis_4": "Squamous cell carcinoma, Invasive, Keratoacanthoma-type",
"diagnosis_confirm_type": "histopathology",
"family_hx_mm": false,
"image_type": "dermoscopic",
"melanocytic": false,
"patient_id": "IP_0008022",
"personal_hx_mm": false,
"sex": "female"
}
{
"age_approx": 60,
"anatom_site_general": "posterior torso",
"concomitant_biopsy": true,
"dermoscopic_type": "contact non-polarized",
"diagnosis_1": "Malignant",
"diagnosis_2": "Malignant adnexal epithelial proliferations - Follicular",
"diagnosis_3": "Basal cell carcinoma",
"diagnosis_4": "Basal cell carcinoma, Superficial",
"diagnosis_confirm_type": "histopathology",
"family_hx_mm": true,
"image_type": "dermoscopic",
"melanocytic": false,
"patient_id": "IP_8675455",
"personal_hx_mm": false,
"sex": "female"
}
{
"age_approx": 60,
"anatom_site_general": "posterior torso",
"concomitant_biopsy": true,
"dermoscopic_type": "contact polarized",
"diagnosis_1": "Malignant",
"diagnosis_2": "Malignant adnexal epithelial proliferations - Follicular",
"diagnosis_3": "Basal cell carcinoma",
"diagnosis_4": "Basal cell carcinoma, Superficial",
"diagnosis_confirm_type": "histopathology",
"family_hx_mm": true,
"image_type": "dermoscopic",
"melanocytic": false,
"patient_id": "IP_8675455",
"personal_hx_mm": false,
"sex": "female"
}
{
"age_approx": 60,
"anatom_site_general": "posterior torso",
"concomitant_biopsy": true,
"dermoscopic_type": "non-contact polarized",
"diagnosis_1": "Malignant",
"diagnosis_2": "Malignant adnexal epithelial proliferations - Follicular",
"diagnosis_3": "Basal cell carcinoma",
"diagnosis_4": "Basal cell carcinoma, Superficial",
"diagnosis_confirm_type": "histopathology",
"family_hx_mm": true,
"image_type": "dermoscopic",
"melanocytic": false,
"patient_id": "IP_8675455",
"personal_hx_mm": false,
"sex": "female"
}
{
"age_approx": 65,
"anatom_site_general": "lower extremity",
"concomitant_biopsy": true,
"dermoscopic_type": "non-contact polarized",
"diagnosis_1": "Indeterminate",
"diagnosis_2": "Indeterminate melanocytic proliferations",
"diagnosis_3": "Atypical melanocytic neoplasm",
"diagnosis_confirm_type": "histopathology",
"family_hx_mm": false,
"image_type": "dermoscopic",
"melanocytic": true,
"patient_id": "IP_3168027",
"personal_hx_mm": true,
"sex": "female"
}
{
"age_approx": 80,
"anatom_site_general": "head/neck",
"concomitant_biopsy": true,
"dermoscopic_type": "contact non-polarized",
"diagnosis_1": "Indeterminate",
"diagnosis_2": "Indeterminate epidermal proliferations",
"diagnosis_3": "Solar or actinic keratosis",
"diagnosis_confirm_type": "histopathology",
"image_type": "dermoscopic",
"melanocytic": false,
"patient_id": "IP_4084397",
"personal_hx_mm": false,
"sex": "male"
}
{
"age_approx": 80,
"anatom_site_general": "head/neck",
"concomitant_biopsy": true,
"dermoscopic_type": "contact polarized",
"diagnosis_1": "Indeterminate",
"diagnosis_2": "Indeterminate epidermal proliferations",
"diagnosis_3": "Solar or actinic keratosis",
"diagnosis_confirm_type": "histopathology",
"image_type": "dermoscopic",
"melanocytic": false,
"patient_id": "IP_4084397",
"personal_hx_mm": false,
"sex": "male"
}
{
"age_approx": 80,
"anatom_site_general": "head/neck",
"concomitant_biopsy": true,
"dermoscopic_type": "non-contact polarized",
"diagnosis_1": "Indeterminate",
"diagnosis_2": "Indeterminate epidermal proliferations",
"diagnosis_3": "Solar or actinic keratosis",
"diagnosis_confirm_type": "histopathology",
"image_type": "dermoscopic",
"melanocytic": false,
"patient_id": "IP_4084397",
"personal_hx_mm": false,
"sex": "male"
}
{
"age_approx": 45,
"anatom_site_general": "head/neck",
"concomitant_biopsy": true,
"dermoscopic_type": "contact non-polarized",
"diagnosis_1": "Malignant",
"diagnosis_2": "Malignant epidermal proliferations",
"diagnosis_3": "Squamous cell carcinoma in situ",
"diagnosis_confirm_type": "histopathology",
"family_hx_mm": false,
"image_type": "dermoscopic",
"melanocytic": false,
"patient_id": "IP_4795959",
"personal_hx_mm": false,
"sex": "male"
}
{
"age_approx": 45,
"anatom_site_general": "head/neck",
"concomitant_biopsy": true,
"dermoscopic_type": "contact polarized",
"diagnosis_1": "Malignant",
"diagnosis_2": "Malignant epidermal proliferations",
"diagnosis_3": "Squamous cell carcinoma in situ",
"diagnosis_confirm_type": "histopathology",
"family_hx_mm": false,
"image_type": "dermoscopic",
"melanocytic": false,
"patient_id": "IP_4795959",
"personal_hx_mm": false,
"sex": "male"
}
{
"age_approx": 45,
"anatom_site_general": "head/neck",
"concomitant_biopsy": true,
"dermoscopic_type": "non-contact polarized",
"diagnosis_1": "Malignant",
"diagnosis_2": "Malignant epidermal proliferations",
"diagnosis_3": "Squamous cell carcinoma in situ",
"diagnosis_confirm_type": "histopathology",
"family_hx_mm": false,
"image_type": "dermoscopic",
"melanocytic": false,
"patient_id": "IP_4795959",
"personal_hx_mm": false,
"sex": "male"
}
{
"age_approx": 65,
"anatom_site_general": "lower extremity",
"concomitant_biopsy": true,
"dermoscopic_type": "contact polarized",
"diagnosis_1": "Indeterminate",
"diagnosis_2": "Indeterminate melanocytic proliferations",
"diagnosis_3": "Atypical melanocytic neoplasm",
"diagnosis_confirm_type": "histopathology",
"family_hx_mm": false,
"image_type": "dermoscopic",
"melanocytic": true,
"patient_id": "IP_3168027",
"personal_hx_mm": true,
"sex": "female"
}
{
"age_approx": 85,
"anatom_site_general": "anterior torso",
"concomitant_biopsy": true,
"dermoscopic_type": "contact non-polarized",
"diagnosis_1": "Benign",
"diagnosis_2": "Benign epidermal proliferations",
"diagnosis_3": "Seborrheic keratosis",
"diagnosis_confirm_type": "histopathology",
"family_hx_mm": true,
"image_type": "dermoscopic",
"melanocytic": false,
"patient_id": "IP_4901949",
"personal_hx_mm": true,
"sex": "male"
}
{
"age_approx": 85,
"anatom_site_general": "anterior torso",
"concomitant_biopsy": true,
"dermoscopic_type": "contact polarized",
"diagnosis_1": "Benign",
"diagnosis_2": "Benign epidermal proliferations",
"diagnosis_3": "Seborrheic keratosis",
"diagnosis_confirm_type": "histopathology",
"family_hx_mm": true,
"image_type": "dermoscopic",
"melanocytic": false,
"patient_id": "IP_4901949",
"personal_hx_mm": true,
"sex": "male"
}
{
"age_approx": 85,
"anatom_site_general": "anterior torso",
"concomitant_biopsy": true,
"dermoscopic_type": "non-contact polarized",
"diagnosis_1": "Benign",
"diagnosis_2": "Benign epidermal proliferations",
"diagnosis_3": "Seborrheic keratosis",
"diagnosis_confirm_type": "histopathology",
"family_hx_mm": true,
"image_type": "dermoscopic",
"melanocytic": false,
"patient_id": "IP_4901949",
"personal_hx_mm": true,
"sex": "male"
}
{
"age_approx": 80,
"anatom_site_general": "anterior torso",
"concomitant_biopsy": true,
"dermoscopic_type": "contact non-polarized",
"diagnosis_1": "Malignant",
"diagnosis_2": "Malignant adnexal epithelial proliferations - Follicular",
"diagnosis_3": "Basal cell carcinoma",
"diagnosis_confirm_type": "histopathology",
"family_hx_mm": false,
"image_type": "dermoscopic",
"melanocytic": false,
"patient_id": "IP_8698923",
"personal_hx_mm": false,
"sex": "female"
}
{
"age_approx": 80,
"anatom_site_general": "anterior torso",
"concomitant_biopsy": true,
"dermoscopic_type": "contact polarized",
"diagnosis_1": "Malignant",
"diagnosis_2": "Malignant adnexal epithelial proliferations - Follicular",
"diagnosis_3": "Basal cell carcinoma",
"diagnosis_confirm_type": "histopathology",
"family_hx_mm": false,
"image_type": "dermoscopic",
"melanocytic": false,
"patient_id": "IP_8698923",
"personal_hx_mm": false,
"sex": "female"
}
{
"age_approx": 80,
"anatom_site_general": "anterior torso",
"concomitant_biopsy": true,
"dermoscopic_type": "non-contact polarized",
"diagnosis_1": "Malignant",
"diagnosis_2": "Malignant adnexal epithelial proliferations - Follicular",
"diagnosis_3": "Basal cell carcinoma",
"diagnosis_confirm_type": "histopathology",
"family_hx_mm": false,
"image_type": "dermoscopic",
"melanocytic": false,
"patient_id": "IP_8698923",
"personal_hx_mm": false,
"sex": "female"
}
{
"age_approx": 80,
"anatom_site_general": "head/neck",
"concomitant_biopsy": true,
"dermoscopic_type": "contact non-polarized",
"diagnosis_1": "Malignant",
"diagnosis_2": "Malignant adnexal epithelial proliferations - Follicular",
"diagnosis_3": "Basal cell carcinoma",
"diagnosis_4": "Basal cell carcinoma, Infiltrating",
"diagnosis_confirm_type": "histopathology",
"family_hx_mm": false,
"image_type": "dermoscopic",
"melanocytic": false,
"patient_id": "IP_4022130",
"personal_hx_mm": false,
"sex": "male"
}
{
"age_approx": 80,
"anatom_site_general": "head/neck",
"concomitant_biopsy": true,
"dermoscopic_type": "contact polarized",
"diagnosis_1": "Malignant",
"diagnosis_2": "Malignant adnexal epithelial proliferations - Follicular",
"diagnosis_3": "Basal cell carcinoma",
"diagnosis_4": "Basal cell carcinoma, Infiltrating",
"diagnosis_confirm_type": "histopathology",
"family_hx_mm": false,
"image_type": "dermoscopic",
"melanocytic": false,
"patient_id": "IP_4022130",
"personal_hx_mm": false,
"sex": "male"
}
{
"age_approx": 65,
"anatom_site_general": "lower extremity",
"concomitant_biopsy": true,
"dermoscopic_type": "contact non-polarized",
"diagnosis_1": "Indeterminate",
"diagnosis_2": "Indeterminate melanocytic proliferations",
"diagnosis_3": "Atypical melanocytic neoplasm",
"diagnosis_confirm_type": "histopathology",
"family_hx_mm": false,
"image_type": "dermoscopic",
"melanocytic": true,
"patient_id": "IP_3168027",
"personal_hx_mm": true,
"sex": "female"
}
{
"age_approx": 80,
"anatom_site_general": "head/neck",
"concomitant_biopsy": true,
"dermoscopic_type": "non-contact polarized",
"diagnosis_1": "Malignant",
"diagnosis_2": "Malignant adnexal epithelial proliferations - Follicular",
"diagnosis_3": "Basal cell carcinoma",
"diagnosis_4": "Basal cell carcinoma, Infiltrating",
"diagnosis_confirm_type": "histopathology",
"family_hx_mm": false,
"image_type": "dermoscopic",
"melanocytic": false,
"patient_id": "IP_4022130",
"personal_hx_mm": false,
"sex": "male"
}
{
"age_approx": 50,
"anatom_site_general": "lateral torso",
"concomitant_biopsy": true,
"dermoscopic_type": "contact non-polarized",
"diagnosis_1": "Benign",
"diagnosis_2": "Benign melanocytic proliferations",
"diagnosis_3": "Nevus",
"diagnosis_4": "Nevus, Atypical, Dysplastic, or Clark",
"diagnosis_5": "Nevus, Dysplastic",
"diagnosis_confirm_type": "histopathology",
"family_hx_mm": false,
"image_type": "dermoscopic",
"melanocytic": true,
"patient_id": "IP_2002508",
"personal_hx_mm": false,
"sex": "male"
}
{
"age_approx": 50,
"anatom_site_general": "lateral torso",
"concomitant_biopsy": true,
"dermoscopic_type": "contact polarized",
"diagnosis_1": "Benign",
"diagnosis_2": "Benign melanocytic proliferations",
"diagnosis_3": "Nevus",
"diagnosis_4": "Nevus, Atypical, Dysplastic, or Clark",
"diagnosis_5": "Nevus, Dysplastic",
"diagnosis_confirm_type": "histopathology",
"family_hx_mm": false,
"image_type": "dermoscopic",
"melanocytic": true,
"patient_id": "IP_2002508",
"personal_hx_mm": false,
"sex": "male"
}
{
"age_approx": 50,
"anatom_site_general": "lateral torso",
"concomitant_biopsy": true,
"dermoscopic_type": "non-contact polarized",
"diagnosis_1": "Benign",
"diagnosis_2": "Benign melanocytic proliferations",
"diagnosis_3": "Nevus",
"diagnosis_4": "Nevus, Atypical, Dysplastic, or Clark",
"diagnosis_5": "Nevus, Dysplastic",
"diagnosis_confirm_type": "histopathology",
"family_hx_mm": false,
"image_type": "dermoscopic",
"melanocytic": true,
"patient_id": "IP_2002508",
"personal_hx_mm": false,
"sex": "male"
}
{
"age_approx": 75,
"anatom_site_general": "anterior torso",
"concomitant_biopsy": true,
"dermoscopic_type": "contact non-polarized",
"diagnosis_1": "Benign",
"diagnosis_2": "Benign melanocytic proliferations",
"diagnosis_3": "Nevus",
"diagnosis_4": "Nevus, Congenital",
"diagnosis_confirm_type": "histopathology",
"family_hx_mm": false,
"image_type": "dermoscopic",
"melanocytic": true,
"patient_id": "IP_7856380",
"personal_hx_mm": false,
"sex": "female"
}
{
"age_approx": 75,
"anatom_site_general": "anterior torso",
"concomitant_biopsy": true,
"dermoscopic_type": "contact polarized",
"diagnosis_1": "Benign",
"diagnosis_2": "Benign melanocytic proliferations",
"diagnosis_3": "Nevus",
"diagnosis_4": "Nevus, Congenital",
"diagnosis_confirm_type": "histopathology",
"family_hx_mm": false,
"image_type": "dermoscopic",
"melanocytic": true,
"patient_id": "IP_7856380",
"personal_hx_mm": false,
"sex": "female"
}
{
"age_approx": 75,
"anatom_site_general": "anterior torso",
"concomitant_biopsy": true,
"dermoscopic_type": "non-contact polarized",
"diagnosis_1": "Benign",
"diagnosis_2": "Benign melanocytic proliferations",
"diagnosis_3": "Nevus",
"diagnosis_4": "Nevus, Congenital",
"diagnosis_confirm_type": "histopathology",
"family_hx_mm": false,
"image_type": "dermoscopic",
"melanocytic": true,
"patient_id": "IP_7856380",
"personal_hx_mm": false,
"sex": "female"
}