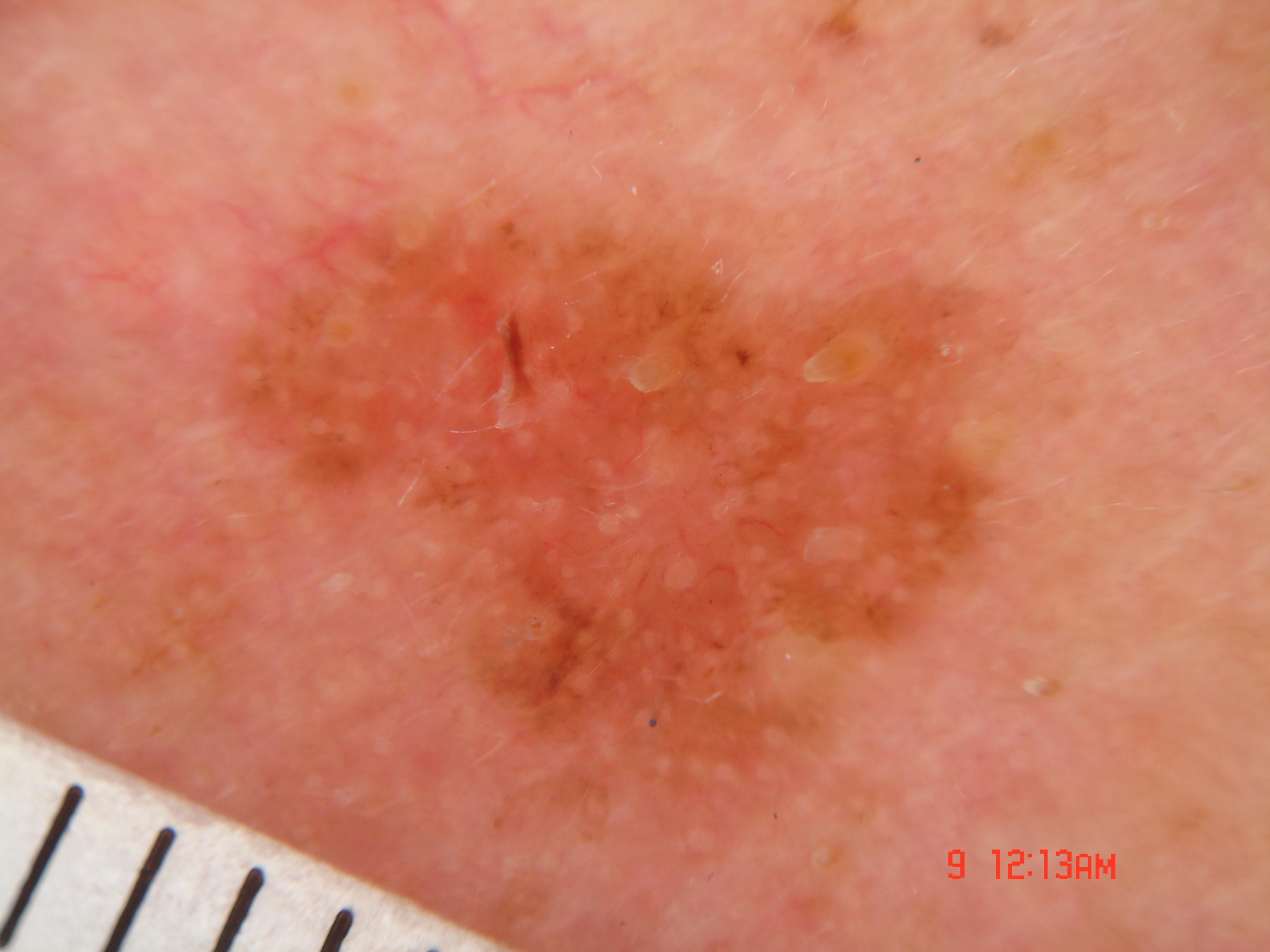
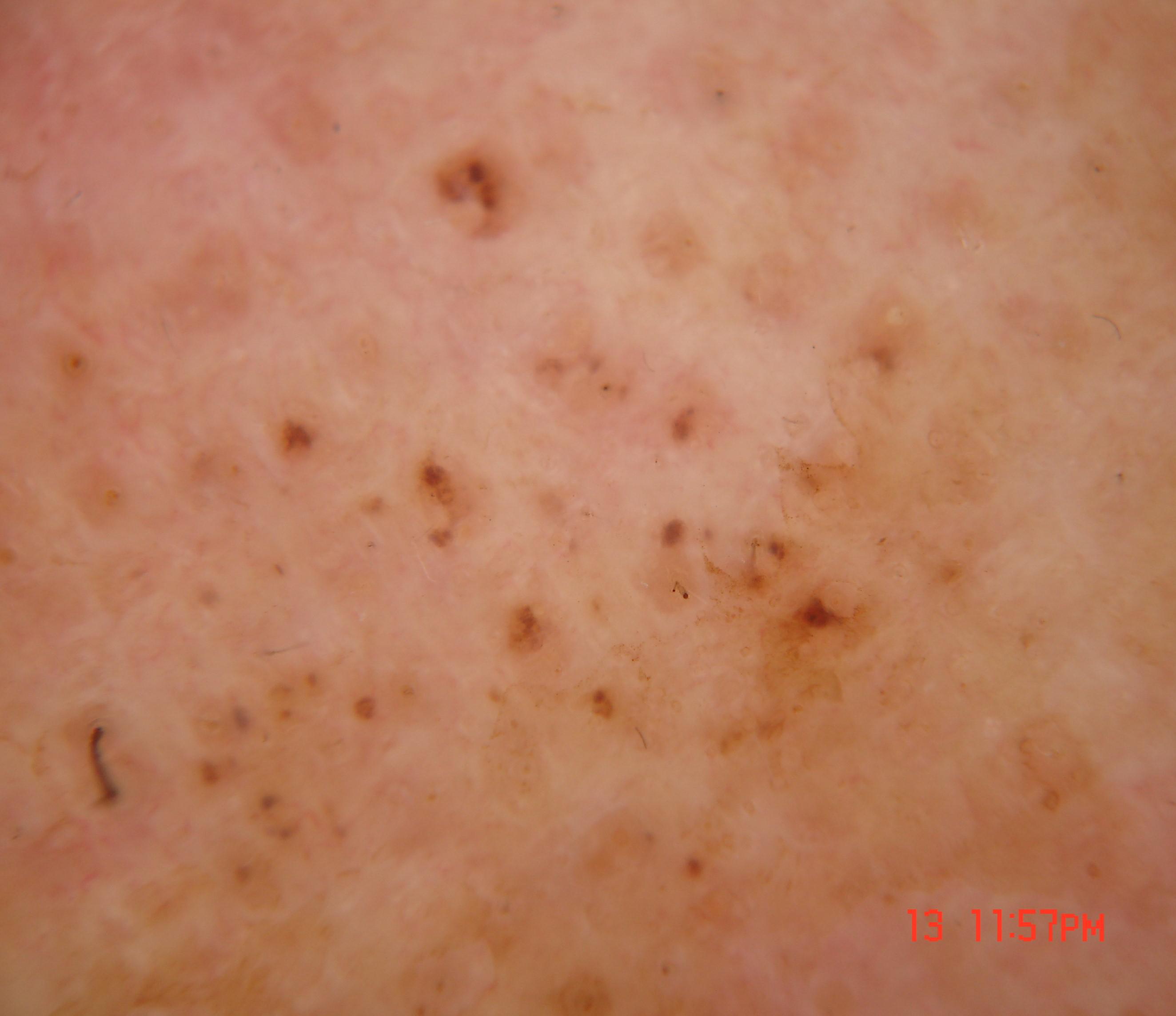
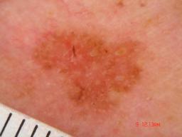
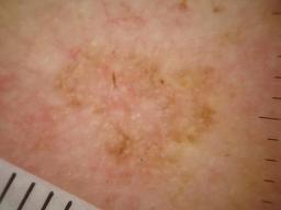
Biopsy-confirmed melanocytic and non-melanocytic skin lesions. This dataset includes over 500 melanomas. Many images have polarized and contact variants.
{
"age_approx": 75,
"anatom_site_general": "posterior torso",
"concomitant_biopsy": true,
"dermoscopic_type": "contact non-polarized",
"diagnosis_1": "Malignant",
"diagnosis_2": "Malignant adnexal epithelial proliferations - Follicular",
"diagnosis_3": "Basal cell carcinoma",
"diagnosis_4": "Basal cell carcinoma, Fibroeipthelial",
"diagnosis_confirm_type": "histopathology",
"family_hx_mm": false,
"image_type": "dermoscopic",
"melanocytic": false,
"patient_id": "IP_0646193",
"personal_hx_mm": false,
"sex": "male"
}
{
"age_approx": 75,
"anatom_site_general": "posterior torso",
"concomitant_biopsy": true,
"dermoscopic_type": "contact polarized",
"diagnosis_1": "Malignant",
"diagnosis_2": "Malignant adnexal epithelial proliferations - Follicular",
"diagnosis_3": "Basal cell carcinoma",
"diagnosis_4": "Basal cell carcinoma, Fibroeipthelial",
"diagnosis_confirm_type": "histopathology",
"family_hx_mm": false,
"image_type": "dermoscopic",
"melanocytic": false,
"patient_id": "IP_0646193",
"personal_hx_mm": false,
"sex": "male"
}
{
"age_approx": 35,
"anatom_site_general": "posterior torso",
"concomitant_biopsy": true,
"dermoscopic_type": "contact polarized",
"diagnosis_1": "Benign",
"diagnosis_2": "Benign melanocytic proliferations",
"diagnosis_3": "Nevus",
"diagnosis_4": "Nevus, Atypical, Dysplastic, or Clark",
"diagnosis_5": "Nevus, Clark",
"diagnosis_confirm_type": "histopathology",
"family_hx_mm": false,
"image_type": "dermoscopic",
"melanocytic": true,
"patient_id": "IP_4600101",
"personal_hx_mm": true,
"sex": "male"
}
{
"age_approx": 75,
"anatom_site_general": "posterior torso",
"concomitant_biopsy": true,
"dermoscopic_type": "non-contact polarized",
"diagnosis_1": "Malignant",
"diagnosis_2": "Malignant adnexal epithelial proliferations - Follicular",
"diagnosis_3": "Basal cell carcinoma",
"diagnosis_4": "Basal cell carcinoma, Fibroeipthelial",
"diagnosis_confirm_type": "histopathology",
"family_hx_mm": false,
"image_type": "dermoscopic",
"melanocytic": false,
"patient_id": "IP_0646193",
"personal_hx_mm": false,
"sex": "male"
}
{
"age_approx": 70,
"anatom_site_general": "head/neck",
"concomitant_biopsy": true,
"dermoscopic_type": "contact non-polarized",
"diagnosis_1": "Malignant",
"diagnosis_2": "Malignant melanocytic proliferations (Melanoma)",
"diagnosis_3": "Melanoma Invasive",
"diagnosis_confirm_type": "histopathology",
"family_hx_mm": false,
"image_type": "dermoscopic",
"mel_thick_mm": "2.20",
"melanocytic": true,
"patient_id": "IP_2747236",
"personal_hx_mm": false,
"sex": "male"
}
{
"age_approx": 70,
"anatom_site_general": "head/neck",
"concomitant_biopsy": true,
"dermoscopic_type": "contact polarized",
"diagnosis_1": "Malignant",
"diagnosis_2": "Malignant melanocytic proliferations (Melanoma)",
"diagnosis_3": "Melanoma Invasive",
"diagnosis_confirm_type": "histopathology",
"family_hx_mm": false,
"image_type": "dermoscopic",
"mel_thick_mm": "2.20",
"melanocytic": true,
"patient_id": "IP_2747236",
"personal_hx_mm": false,
"sex": "male"
}
{
"age_approx": 70,
"anatom_site_general": "head/neck",
"concomitant_biopsy": true,
"dermoscopic_type": "non-contact polarized",
"diagnosis_1": "Malignant",
"diagnosis_2": "Malignant melanocytic proliferations (Melanoma)",
"diagnosis_3": "Melanoma Invasive",
"diagnosis_confirm_type": "histopathology",
"family_hx_mm": false,
"image_type": "dermoscopic",
"mel_thick_mm": "2.20",
"melanocytic": true,
"patient_id": "IP_2747236",
"personal_hx_mm": false,
"sex": "male"
}
{
"age_approx": 70,
"anatom_site_general": "posterior torso",
"concomitant_biopsy": true,
"dermoscopic_type": "contact non-polarized",
"diagnosis_1": "Indeterminate",
"diagnosis_2": "Indeterminate epidermal proliferations",
"diagnosis_3": "Solar or actinic keratosis",
"diagnosis_4": "Actinic keratosis, Lichenoid",
"diagnosis_confirm_type": "histopathology",
"family_hx_mm": false,
"image_type": "dermoscopic",
"melanocytic": false,
"patient_id": "IP_2747236",
"personal_hx_mm": false,
"sex": "male"
}
{
"age_approx": 70,
"anatom_site_general": "posterior torso",
"concomitant_biopsy": true,
"dermoscopic_type": "contact polarized",
"diagnosis_1": "Indeterminate",
"diagnosis_2": "Indeterminate epidermal proliferations",
"diagnosis_3": "Solar or actinic keratosis",
"diagnosis_4": "Actinic keratosis, Lichenoid",
"diagnosis_confirm_type": "histopathology",
"family_hx_mm": false,
"image_type": "dermoscopic",
"melanocytic": false,
"patient_id": "IP_2747236",
"personal_hx_mm": false,
"sex": "male"
}
{
"age_approx": 70,
"anatom_site_general": "posterior torso",
"concomitant_biopsy": true,
"dermoscopic_type": "non-contact polarized",
"diagnosis_1": "Indeterminate",
"diagnosis_2": "Indeterminate epidermal proliferations",
"diagnosis_3": "Solar or actinic keratosis",
"diagnosis_4": "Actinic keratosis, Lichenoid",
"diagnosis_confirm_type": "histopathology",
"family_hx_mm": false,
"image_type": "dermoscopic",
"melanocytic": false,
"patient_id": "IP_2747236",
"personal_hx_mm": false,
"sex": "male"
}
{
"age_approx": 85,
"anatom_site_general": "head/neck",
"concomitant_biopsy": true,
"dermoscopic_type": "contact non-polarized",
"diagnosis_1": "Malignant",
"diagnosis_2": "Malignant adnexal epithelial proliferations - Follicular",
"diagnosis_3": "Basal cell carcinoma",
"diagnosis_4": "Basal cell carcinoma, Infiltrating",
"diagnosis_confirm_type": "histopathology",
"family_hx_mm": false,
"image_type": "dermoscopic",
"melanocytic": false,
"patient_id": "IP_0566136",
"personal_hx_mm": false,
"sex": "male"
}
{
"age_approx": 85,
"anatom_site_general": "head/neck",
"concomitant_biopsy": true,
"dermoscopic_type": "contact polarized",
"diagnosis_1": "Malignant",
"diagnosis_2": "Malignant adnexal epithelial proliferations - Follicular",
"diagnosis_3": "Basal cell carcinoma",
"diagnosis_4": "Basal cell carcinoma, Infiltrating",
"diagnosis_confirm_type": "histopathology",
"family_hx_mm": false,
"image_type": "dermoscopic",
"melanocytic": false,
"patient_id": "IP_0566136",
"personal_hx_mm": false,
"sex": "male"
}
{
"age_approx": 85,
"anatom_site_general": "head/neck",
"concomitant_biopsy": true,
"dermoscopic_type": "non-contact polarized",
"diagnosis_1": "Malignant",
"diagnosis_2": "Malignant adnexal epithelial proliferations - Follicular",
"diagnosis_3": "Basal cell carcinoma",
"diagnosis_4": "Basal cell carcinoma, Infiltrating",
"diagnosis_confirm_type": "histopathology",
"family_hx_mm": false,
"image_type": "dermoscopic",
"melanocytic": false,
"patient_id": "IP_0566136",
"personal_hx_mm": false,
"sex": "male"
}
{
"age_approx": 35,
"anatom_site_general": "anterior torso",
"concomitant_biopsy": true,
"dermoscopic_type": "non-contact polarized",
"diagnosis_1": "Benign",
"diagnosis_2": "Benign melanocytic proliferations",
"diagnosis_3": "Nevus",
"diagnosis_4": "Nevus, Atypical, Dysplastic, or Clark",
"diagnosis_5": "Nevus, Clark",
"diagnosis_confirm_type": "histopathology",
"family_hx_mm": false,
"image_type": "dermoscopic",
"melanocytic": true,
"patient_id": "IP_4600101",
"personal_hx_mm": true,
"sex": "male"
}
{
"age_approx": 65,
"anatom_site_general": "head/neck",
"concomitant_biopsy": true,
"dermoscopic_type": "contact non-polarized",
"diagnosis_1": "Malignant",
"diagnosis_2": "Malignant melanocytic proliferations (Melanoma)",
"diagnosis_3": "Melanoma in situ",
"diagnosis_confirm_type": "histopathology",
"family_hx_mm": false,
"image_type": "dermoscopic",
"mel_thick_mm": "0.00",
"melanocytic": true,
"patient_id": "IP_0680461",
"personal_hx_mm": false,
"sex": "female"
}
{
"age_approx": 65,
"anatom_site_general": "head/neck",
"concomitant_biopsy": true,
"dermoscopic_type": "contact polarized",
"diagnosis_1": "Malignant",
"diagnosis_2": "Malignant melanocytic proliferations (Melanoma)",
"diagnosis_3": "Melanoma in situ",
"diagnosis_confirm_type": "histopathology",
"family_hx_mm": false,
"image_type": "dermoscopic",
"mel_thick_mm": "0.00",
"melanocytic": true,
"patient_id": "IP_0680461",
"personal_hx_mm": false,
"sex": "female"
}
{
"age_approx": 65,
"anatom_site_general": "head/neck",
"concomitant_biopsy": true,
"dermoscopic_type": "non-contact polarized",
"diagnosis_1": "Malignant",
"diagnosis_2": "Malignant melanocytic proliferations (Melanoma)",
"diagnosis_3": "Melanoma in situ",
"diagnosis_confirm_type": "histopathology",
"family_hx_mm": false,
"image_type": "dermoscopic",
"mel_thick_mm": "0.00",
"melanocytic": true,
"patient_id": "IP_0680461",
"personal_hx_mm": false,
"sex": "female"
}
{
"age_approx": 75,
"anatom_site_general": "head/neck",
"concomitant_biopsy": true,
"dermoscopic_type": "contact non-polarized",
"diagnosis_1": "Benign",
"diagnosis_2": "Benign melanocytic proliferations",
"diagnosis_3": "Nevus",
"diagnosis_4": "Nevus, NOS, Dermal",
"diagnosis_confirm_type": "histopathology",
"family_hx_mm": false,
"image_type": "dermoscopic",
"melanocytic": true,
"patient_id": "IP_7306006",
"personal_hx_mm": false,
"sex": "male"
}
{
"age_approx": 75,
"anatom_site_general": "head/neck",
"concomitant_biopsy": true,
"dermoscopic_type": "contact polarized",
"diagnosis_1": "Benign",
"diagnosis_2": "Benign melanocytic proliferations",
"diagnosis_3": "Nevus",
"diagnosis_4": "Nevus, NOS, Dermal",
"diagnosis_confirm_type": "histopathology",
"family_hx_mm": false,
"image_type": "dermoscopic",
"melanocytic": true,
"patient_id": "IP_7306006",
"personal_hx_mm": false,
"sex": "male"
}
{
"age_approx": 75,
"anatom_site_general": "head/neck",
"concomitant_biopsy": true,
"dermoscopic_type": "non-contact polarized",
"diagnosis_1": "Benign",
"diagnosis_2": "Benign melanocytic proliferations",
"diagnosis_3": "Nevus",
"diagnosis_4": "Nevus, NOS, Dermal",
"diagnosis_confirm_type": "histopathology",
"family_hx_mm": false,
"image_type": "dermoscopic",
"melanocytic": true,
"patient_id": "IP_7306006",
"personal_hx_mm": false,
"sex": "male"
}
{
"age_approx": 75,
"anatom_site_general": "upper extremity",
"concomitant_biopsy": true,
"dermoscopic_type": "contact non-polarized",
"diagnosis_1": "Malignant",
"diagnosis_2": "Malignant melanocytic proliferations (Melanoma)",
"diagnosis_3": "Melanoma in situ",
"diagnosis_confirm_type": "histopathology",
"family_hx_mm": false,
"image_type": "dermoscopic",
"mel_thick_mm": "0.00",
"melanocytic": true,
"patient_id": "IP_5696403",
"personal_hx_mm": false,
"sex": "male"
}
{
"age_approx": 35,
"anatom_site_general": "anterior torso",
"concomitant_biopsy": true,
"dermoscopic_type": "contact polarized",
"diagnosis_1": "Benign",
"diagnosis_2": "Benign melanocytic proliferations",
"diagnosis_3": "Nevus",
"diagnosis_4": "Nevus, Atypical, Dysplastic, or Clark",
"diagnosis_5": "Nevus, Clark",
"diagnosis_confirm_type": "histopathology",
"family_hx_mm": false,
"image_type": "dermoscopic",
"melanocytic": true,
"patient_id": "IP_4600101",
"personal_hx_mm": true,
"sex": "male"
}
{
"age_approx": 75,
"anatom_site_general": "upper extremity",
"concomitant_biopsy": true,
"dermoscopic_type": "contact polarized",
"diagnosis_1": "Malignant",
"diagnosis_2": "Malignant melanocytic proliferations (Melanoma)",
"diagnosis_3": "Melanoma in situ",
"diagnosis_confirm_type": "histopathology",
"family_hx_mm": false,
"image_type": "dermoscopic",
"mel_thick_mm": "0.00",
"melanocytic": true,
"patient_id": "IP_5696403",
"personal_hx_mm": false,
"sex": "male"
}
{
"age_approx": 75,
"anatom_site_general": "upper extremity",
"concomitant_biopsy": true,
"dermoscopic_type": "non-contact polarized",
"diagnosis_1": "Malignant",
"diagnosis_2": "Malignant melanocytic proliferations (Melanoma)",
"diagnosis_3": "Melanoma in situ",
"diagnosis_confirm_type": "histopathology",
"family_hx_mm": false,
"image_type": "dermoscopic",
"mel_thick_mm": "0.00",
"melanocytic": true,
"patient_id": "IP_5696403",
"personal_hx_mm": false,
"sex": "male"
}
{
"age_approx": 55,
"anatom_site_general": "head/neck",
"concomitant_biopsy": true,
"dermoscopic_type": "contact non-polarized",
"diagnosis_1": "Malignant",
"diagnosis_2": "Malignant epidermal proliferations",
"diagnosis_3": "Squamous cell carcinoma in situ",
"diagnosis_confirm_type": "histopathology",
"family_hx_mm": false,
"image_type": "dermoscopic",
"melanocytic": false,
"patient_id": "IP_5119620",
"personal_hx_mm": false,
"sex": "female"
}
{
"age_approx": 55,
"anatom_site_general": "head/neck",
"concomitant_biopsy": true,
"dermoscopic_type": "contact polarized",
"diagnosis_1": "Malignant",
"diagnosis_2": "Malignant epidermal proliferations",
"diagnosis_3": "Squamous cell carcinoma in situ",
"diagnosis_confirm_type": "histopathology",
"family_hx_mm": false,
"image_type": "dermoscopic",
"melanocytic": false,
"patient_id": "IP_5119620",
"personal_hx_mm": false,
"sex": "female"
}
{
"age_approx": 55,
"anatom_site_general": "head/neck",
"concomitant_biopsy": true,
"dermoscopic_type": "non-contact polarized",
"diagnosis_1": "Malignant",
"diagnosis_2": "Malignant epidermal proliferations",
"diagnosis_3": "Squamous cell carcinoma in situ",
"diagnosis_confirm_type": "histopathology",
"family_hx_mm": false,
"image_type": "dermoscopic",
"melanocytic": false,
"patient_id": "IP_5119620",
"personal_hx_mm": false,
"sex": "female"
}
{
"age_approx": 55,
"anatom_site_general": "head/neck",
"concomitant_biopsy": true,
"dermoscopic_type": "contact non-polarized",
"diagnosis_1": "Benign",
"diagnosis_2": "Benign epidermal proliferations",
"diagnosis_3": "Solar lentigo",
"diagnosis_confirm_type": "histopathology",
"family_hx_mm": false,
"image_type": "dermoscopic",
"melanocytic": false,
"patient_id": "IP_5119620",
"personal_hx_mm": false,
"sex": "female"
}
{
"age_approx": 55,
"anatom_site_general": "head/neck",
"concomitant_biopsy": true,
"dermoscopic_type": "contact polarized",
"diagnosis_1": "Benign",
"diagnosis_2": "Benign epidermal proliferations",
"diagnosis_3": "Solar lentigo",
"diagnosis_confirm_type": "histopathology",
"family_hx_mm": false,
"image_type": "dermoscopic",
"melanocytic": false,
"patient_id": "IP_5119620",
"personal_hx_mm": false,
"sex": "female"
}
{
"age_approx": 35,
"anatom_site_general": "anterior torso",
"concomitant_biopsy": true,
"dermoscopic_type": "contact non-polarized",
"diagnosis_1": "Benign",
"diagnosis_2": "Benign melanocytic proliferations",
"diagnosis_3": "Nevus",
"diagnosis_4": "Nevus, Atypical, Dysplastic, or Clark",
"diagnosis_5": "Nevus, Clark",
"diagnosis_confirm_type": "histopathology",
"family_hx_mm": false,
"image_type": "dermoscopic",
"melanocytic": true,
"patient_id": "IP_4600101",
"personal_hx_mm": true,
"sex": "male"
}