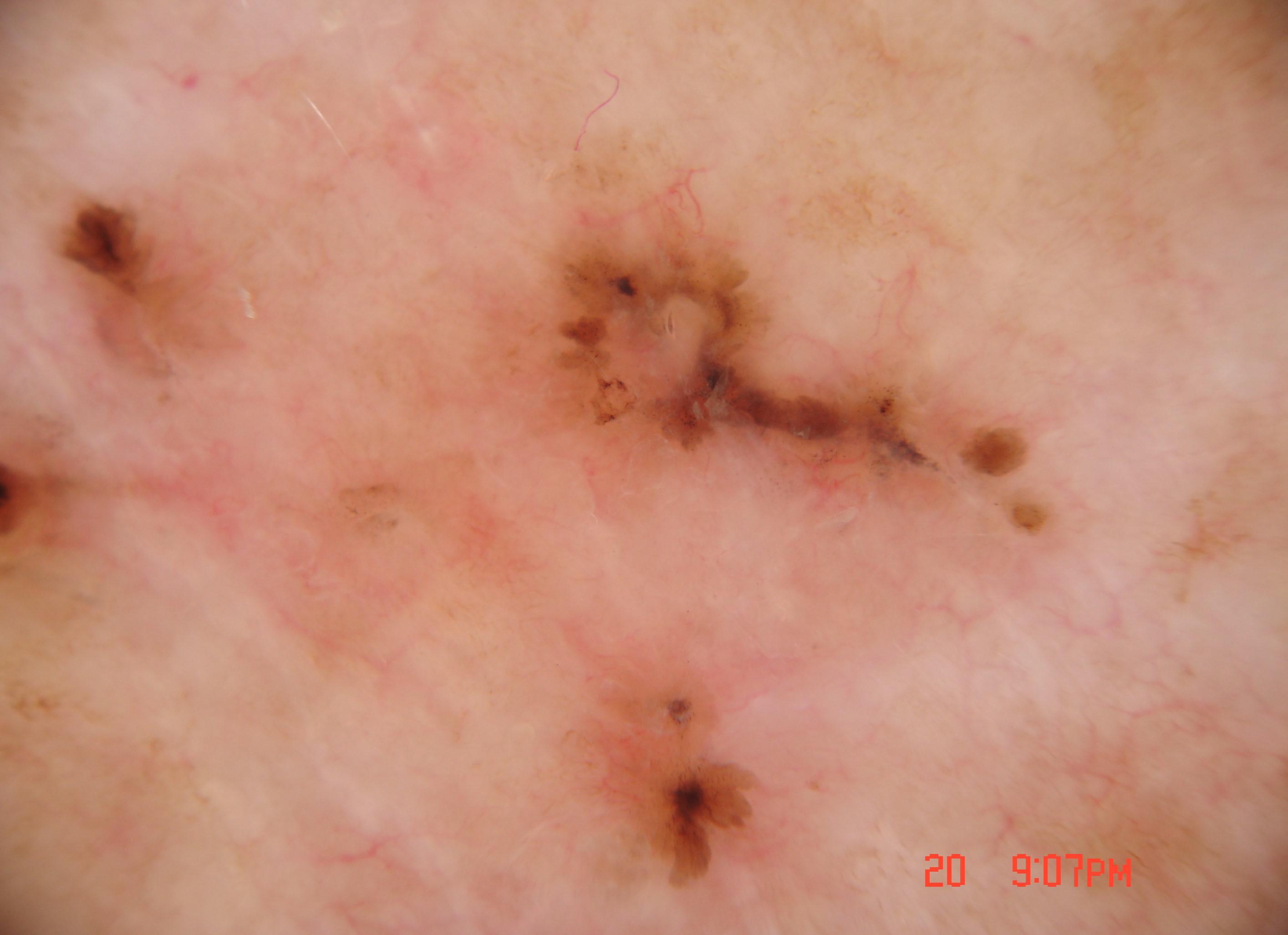
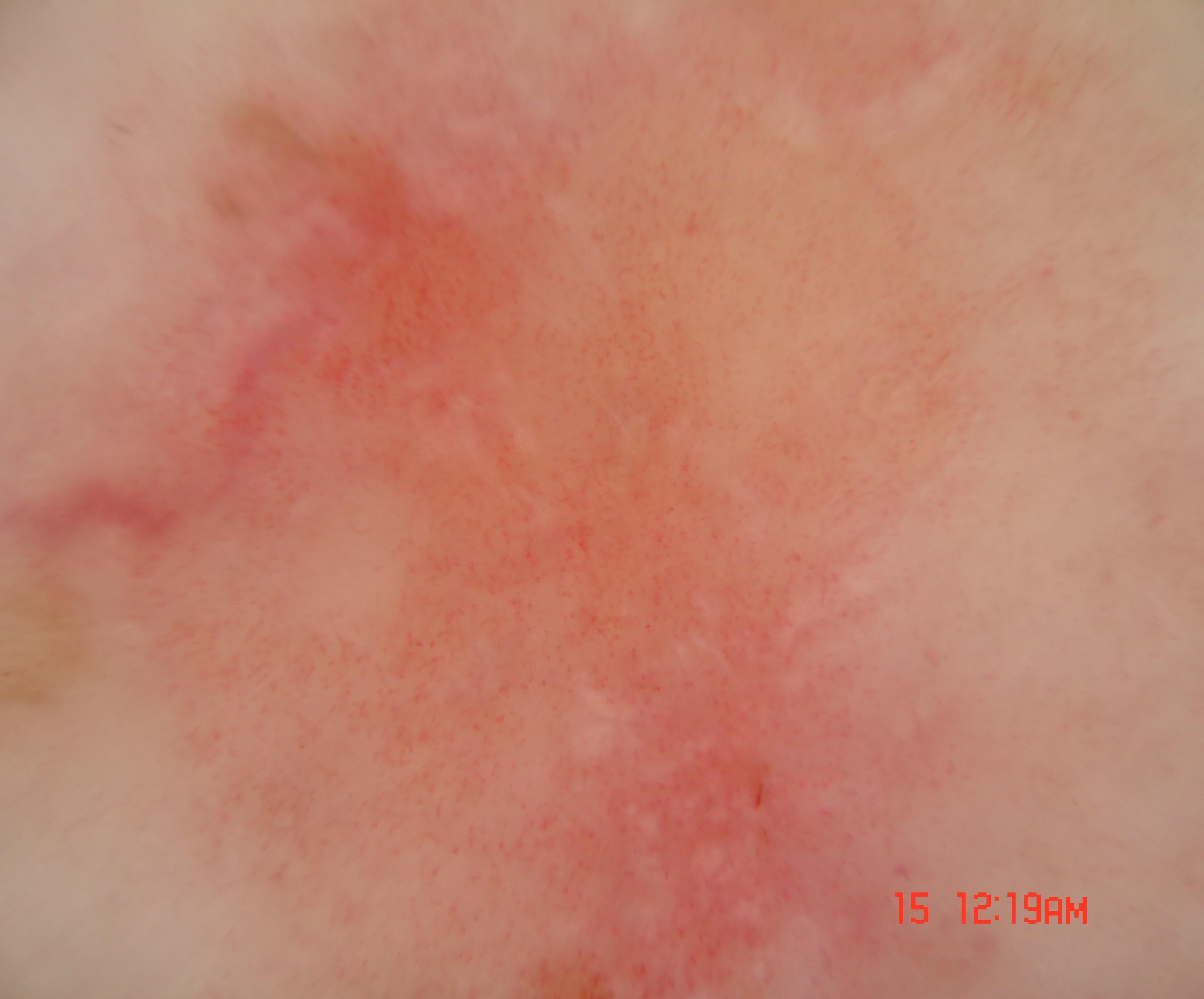
Biopsy-confirmed melanocytic and non-melanocytic skin lesions. This dataset includes over 500 melanomas. Many images have polarized and contact variants.
{
"age_approx": 75,
"anatom_site_general": "upper extremity",
"concomitant_biopsy": true,
"dermoscopic_type": "contact polarized",
"diagnosis_1": "Malignant",
"diagnosis_2": "Malignant melanocytic proliferations (Melanoma)",
"diagnosis_3": "Melanoma in situ",
"diagnosis_confirm_type": "histopathology",
"family_hx_mm": false,
"image_type": "dermoscopic",
"mel_thick_mm": "0.00",
"melanocytic": true,
"patient_id": "IP_8206145",
"personal_hx_mm": false,
"sex": "female"
}
{
"age_approx": 75,
"anatom_site_general": "upper extremity",
"concomitant_biopsy": true,
"dermoscopic_type": "non-contact polarized",
"diagnosis_1": "Malignant",
"diagnosis_2": "Malignant melanocytic proliferations (Melanoma)",
"diagnosis_3": "Melanoma in situ",
"diagnosis_confirm_type": "histopathology",
"family_hx_mm": false,
"image_type": "dermoscopic",
"mel_thick_mm": "0.00",
"melanocytic": true,
"patient_id": "IP_8206145",
"personal_hx_mm": false,
"sex": "female"
}
{
"age_approx": 50,
"anatom_site_general": "lower extremity",
"concomitant_biopsy": true,
"dermoscopic_type": "contact non-polarized",
"diagnosis_1": "Indeterminate",
"diagnosis_2": "Indeterminate epidermal proliferations",
"diagnosis_3": "Solar or actinic keratosis",
"diagnosis_4": "Actinic keratosis, Hypertrophic",
"diagnosis_confirm_type": "histopathology",
"family_hx_mm": false,
"image_type": "dermoscopic",
"melanocytic": false,
"patient_id": "IP_6628284",
"personal_hx_mm": false,
"sex": "female"
}
{
"age_approx": 50,
"anatom_site_general": "lower extremity",
"concomitant_biopsy": true,
"dermoscopic_type": "contact polarized",
"diagnosis_1": "Indeterminate",
"diagnosis_2": "Indeterminate epidermal proliferations",
"diagnosis_3": "Solar or actinic keratosis",
"diagnosis_4": "Actinic keratosis, Hypertrophic",
"diagnosis_confirm_type": "histopathology",
"family_hx_mm": false,
"image_type": "dermoscopic",
"melanocytic": false,
"patient_id": "IP_6628284",
"personal_hx_mm": false,
"sex": "female"
}
{
"age_approx": 50,
"anatom_site_general": "lower extremity",
"concomitant_biopsy": true,
"dermoscopic_type": "non-contact polarized",
"diagnosis_1": "Indeterminate",
"diagnosis_2": "Indeterminate epidermal proliferations",
"diagnosis_3": "Solar or actinic keratosis",
"diagnosis_4": "Actinic keratosis, Hypertrophic",
"diagnosis_confirm_type": "histopathology",
"family_hx_mm": false,
"image_type": "dermoscopic",
"melanocytic": false,
"patient_id": "IP_6628284",
"personal_hx_mm": false,
"sex": "female"
}
{
"age_approx": 85,
"anatom_site_general": "lower extremity",
"concomitant_biopsy": true,
"dermoscopic_type": "contact non-polarized",
"diagnosis_1": "Benign",
"diagnosis_2": "Benign soft tissue proliferations - Fibro-histiocytic",
"diagnosis_3": "Fibroepithelial polyp",
"diagnosis_confirm_type": "histopathology",
"family_hx_mm": false,
"image_type": "dermoscopic",
"melanocytic": false,
"patient_id": "IP_1430648",
"personal_hx_mm": false,
"sex": "male"
}
{
"age_approx": 80,
"anatom_site_general": "head/neck",
"concomitant_biopsy": true,
"dermoscopic_type": "non-contact polarized",
"diagnosis_1": "Indeterminate",
"diagnosis_2": "Indeterminate epidermal proliferations",
"diagnosis_3": "Solar or actinic keratosis",
"diagnosis_confirm_type": "histopathology",
"family_hx_mm": false,
"image_type": "dermoscopic",
"melanocytic": false,
"patient_id": "IP_6400337",
"personal_hx_mm": false,
"sex": "male"
}
{
"age_approx": 70,
"anatom_site_general": "head/neck",
"concomitant_biopsy": true,
"dermoscopic_type": "contact non-polarized",
"diagnosis_1": "Malignant",
"diagnosis_2": "Malignant melanocytic proliferations (Melanoma)",
"diagnosis_3": "Melanoma in situ",
"diagnosis_confirm_type": "histopathology",
"family_hx_mm": false,
"image_type": "dermoscopic",
"mel_thick_mm": "0.00",
"melanocytic": true,
"patient_id": "IP_0303118",
"personal_hx_mm": true,
"sex": "male"
}
{
"age_approx": 70,
"anatom_site_general": "head/neck",
"concomitant_biopsy": true,
"dermoscopic_type": "contact polarized",
"diagnosis_1": "Malignant",
"diagnosis_2": "Malignant melanocytic proliferations (Melanoma)",
"diagnosis_3": "Melanoma in situ",
"diagnosis_confirm_type": "histopathology",
"family_hx_mm": false,
"image_type": "dermoscopic",
"mel_thick_mm": "0.00",
"melanocytic": true,
"patient_id": "IP_0303118",
"personal_hx_mm": true,
"sex": "male"
}
{
"age_approx": 70,
"anatom_site_general": "head/neck",
"concomitant_biopsy": true,
"dermoscopic_type": "non-contact polarized",
"diagnosis_1": "Malignant",
"diagnosis_2": "Malignant melanocytic proliferations (Melanoma)",
"diagnosis_3": "Melanoma in situ",
"diagnosis_confirm_type": "histopathology",
"family_hx_mm": false,
"image_type": "dermoscopic",
"mel_thick_mm": "0.00",
"melanocytic": true,
"patient_id": "IP_0303118",
"personal_hx_mm": true,
"sex": "male"
}
{
"age_approx": 60,
"anatom_site_general": "anterior torso",
"concomitant_biopsy": true,
"dermoscopic_type": "contact non-polarized",
"diagnosis_1": "Indeterminate",
"diagnosis_2": "Indeterminate epidermal proliferations",
"diagnosis_3": "Solar or actinic keratosis",
"diagnosis_confirm_type": "histopathology",
"family_hx_mm": false,
"image_type": "dermoscopic",
"melanocytic": false,
"patient_id": "IP_2487716",
"personal_hx_mm": true,
"sex": "female"
}
{
"age_approx": 60,
"anatom_site_general": "anterior torso",
"concomitant_biopsy": true,
"dermoscopic_type": "contact polarized",
"diagnosis_1": "Indeterminate",
"diagnosis_2": "Indeterminate epidermal proliferations",
"diagnosis_3": "Solar or actinic keratosis",
"diagnosis_confirm_type": "histopathology",
"family_hx_mm": false,
"image_type": "dermoscopic",
"melanocytic": false,
"patient_id": "IP_2487716",
"personal_hx_mm": true,
"sex": "female"
}
{
"age_approx": 60,
"anatom_site_general": "anterior torso",
"concomitant_biopsy": true,
"dermoscopic_type": "non-contact polarized",
"diagnosis_1": "Indeterminate",
"diagnosis_2": "Indeterminate epidermal proliferations",
"diagnosis_3": "Solar or actinic keratosis",
"diagnosis_confirm_type": "histopathology",
"family_hx_mm": false,
"image_type": "dermoscopic",
"melanocytic": false,
"patient_id": "IP_2487716",
"personal_hx_mm": true,
"sex": "female"
}
{
"age_approx": 75,
"anatom_site_general": "posterior torso",
"concomitant_biopsy": true,
"dermoscopic_type": "contact non-polarized",
"diagnosis_1": "Benign",
"diagnosis_2": "Benign melanocytic proliferations",
"diagnosis_3": "Nevus",
"diagnosis_4": "Nevus, Atypical, Dysplastic, or Clark",
"diagnosis_confirm_type": "histopathology",
"family_hx_mm": false,
"image_type": "dermoscopic",
"melanocytic": true,
"patient_id": "IP_4190417",
"personal_hx_mm": true,
"sex": "male"
}
{
"age_approx": 75,
"anatom_site_general": "posterior torso",
"concomitant_biopsy": true,
"dermoscopic_type": "contact polarized",
"diagnosis_1": "Benign",
"diagnosis_2": "Benign melanocytic proliferations",
"diagnosis_3": "Nevus",
"diagnosis_4": "Nevus, Atypical, Dysplastic, or Clark",
"diagnosis_confirm_type": "histopathology",
"family_hx_mm": false,
"image_type": "dermoscopic",
"melanocytic": true,
"patient_id": "IP_4190417",
"personal_hx_mm": true,
"sex": "male"
}
{
"age_approx": 75,
"anatom_site_general": "posterior torso",
"concomitant_biopsy": true,
"dermoscopic_type": "non-contact polarized",
"diagnosis_1": "Benign",
"diagnosis_2": "Benign melanocytic proliferations",
"diagnosis_3": "Nevus",
"diagnosis_4": "Nevus, Atypical, Dysplastic, or Clark",
"diagnosis_confirm_type": "histopathology",
"family_hx_mm": false,
"image_type": "dermoscopic",
"melanocytic": true,
"patient_id": "IP_4190417",
"personal_hx_mm": true,
"sex": "male"
}
{
"age_approx": 70,
"anatom_site_general": "upper extremity",
"concomitant_biopsy": true,
"dermoscopic_type": "contact non-polarized",
"diagnosis_1": "Benign",
"diagnosis_2": "Benign epidermal proliferations",
"diagnosis_3": "Seborrheic keratosis",
"diagnosis_confirm_type": "histopathology",
"family_hx_mm": true,
"image_type": "dermoscopic",
"melanocytic": false,
"patient_id": "IP_3238432",
"personal_hx_mm": true,
"sex": "female"
}
{
"age_approx": 80,
"anatom_site_general": "head/neck",
"concomitant_biopsy": true,
"dermoscopic_type": "contact non-polarized",
"diagnosis_1": "Indeterminate",
"diagnosis_2": "Indeterminate epidermal proliferations",
"diagnosis_3": "Solar or actinic keratosis",
"diagnosis_confirm_type": "histopathology",
"family_hx_mm": false,
"image_type": "dermoscopic",
"melanocytic": false,
"patient_id": "IP_6400337",
"personal_hx_mm": false,
"sex": "male"
}
{
"age_approx": 70,
"anatom_site_general": "upper extremity",
"concomitant_biopsy": true,
"dermoscopic_type": "contact polarized",
"diagnosis_1": "Benign",
"diagnosis_2": "Benign epidermal proliferations",
"diagnosis_3": "Seborrheic keratosis",
"diagnosis_confirm_type": "histopathology",
"family_hx_mm": true,
"image_type": "dermoscopic",
"melanocytic": false,
"patient_id": "IP_3238432",
"personal_hx_mm": true,
"sex": "female"
}
{
"age_approx": 70,
"anatom_site_general": "upper extremity",
"concomitant_biopsy": true,
"dermoscopic_type": "non-contact polarized",
"diagnosis_1": "Benign",
"diagnosis_2": "Benign epidermal proliferations",
"diagnosis_3": "Seborrheic keratosis",
"diagnosis_confirm_type": "histopathology",
"family_hx_mm": true,
"image_type": "dermoscopic",
"melanocytic": false,
"patient_id": "IP_3238432",
"personal_hx_mm": true,
"sex": "female"
}
{
"age_approx": 80,
"anatom_site_general": "anterior torso",
"concomitant_biopsy": true,
"dermoscopic_type": "contact non-polarized",
"diagnosis_1": "Malignant",
"diagnosis_2": "Malignant adnexal epithelial proliferations - Follicular",
"diagnosis_3": "Basal cell carcinoma",
"diagnosis_confirm_type": "histopathology",
"family_hx_mm": false,
"image_type": "dermoscopic",
"melanocytic": false,
"patient_id": "IP_4784831",
"personal_hx_mm": false,
"sex": "male"
}
{
"age_approx": 80,
"anatom_site_general": "anterior torso",
"concomitant_biopsy": true,
"dermoscopic_type": "contact polarized",
"diagnosis_1": "Malignant",
"diagnosis_2": "Malignant adnexal epithelial proliferations - Follicular",
"diagnosis_3": "Basal cell carcinoma",
"diagnosis_confirm_type": "histopathology",
"family_hx_mm": false,
"image_type": "dermoscopic",
"melanocytic": false,
"patient_id": "IP_4784831",
"personal_hx_mm": false,
"sex": "male"
}
{
"age_approx": 80,
"anatom_site_general": "anterior torso",
"concomitant_biopsy": true,
"dermoscopic_type": "non-contact polarized",
"diagnosis_1": "Malignant",
"diagnosis_2": "Malignant adnexal epithelial proliferations - Follicular",
"diagnosis_3": "Basal cell carcinoma",
"diagnosis_confirm_type": "histopathology",
"family_hx_mm": false,
"image_type": "dermoscopic",
"melanocytic": false,
"patient_id": "IP_4784831",
"personal_hx_mm": false,
"sex": "male"
}
{
"age_approx": 75,
"anatom_site_general": "upper extremity",
"concomitant_biopsy": true,
"dermoscopic_type": "contact non-polarized",
"diagnosis_1": "Benign",
"diagnosis_2": "Benign epidermal proliferations",
"diagnosis_3": "Lichen planus like keratosis",
"diagnosis_confirm_type": "histopathology",
"family_hx_mm": false,
"image_type": "dermoscopic",
"melanocytic": false,
"patient_id": "IP_6589897",
"personal_hx_mm": false,
"sex": "male"
}
{
"age_approx": 75,
"anatom_site_general": "upper extremity",
"concomitant_biopsy": true,
"dermoscopic_type": "contact polarized",
"diagnosis_1": "Benign",
"diagnosis_2": "Benign epidermal proliferations",
"diagnosis_3": "Lichen planus like keratosis",
"diagnosis_confirm_type": "histopathology",
"family_hx_mm": false,
"image_type": "dermoscopic",
"melanocytic": false,
"patient_id": "IP_6589897",
"personal_hx_mm": false,
"sex": "male"
}
{
"age_approx": 75,
"anatom_site_general": "upper extremity",
"concomitant_biopsy": true,
"dermoscopic_type": "non-contact polarized",
"diagnosis_1": "Benign",
"diagnosis_2": "Benign epidermal proliferations",
"diagnosis_3": "Lichen planus like keratosis",
"diagnosis_confirm_type": "histopathology",
"family_hx_mm": false,
"image_type": "dermoscopic",
"melanocytic": false,
"patient_id": "IP_6589897",
"personal_hx_mm": false,
"sex": "male"
}
{
"age_approx": 50,
"anatom_site_general": "posterior torso",
"concomitant_biopsy": true,
"dermoscopic_type": "contact non-polarized",
"diagnosis_1": "Benign",
"diagnosis_2": "Benign soft tissue proliferations - Fibro-histiocytic",
"diagnosis_3": "Scar",
"diagnosis_confirm_type": "histopathology",
"family_hx_mm": false,
"image_type": "dermoscopic",
"melanocytic": false,
"patient_id": "IP_8686505",
"personal_hx_mm": true,
"sex": "female"
}
{
"age_approx": 50,
"anatom_site_general": "posterior torso",
"concomitant_biopsy": true,
"dermoscopic_type": "contact polarized",
"diagnosis_1": "Benign",
"diagnosis_2": "Benign soft tissue proliferations - Fibro-histiocytic",
"diagnosis_3": "Scar",
"diagnosis_confirm_type": "histopathology",
"family_hx_mm": false,
"image_type": "dermoscopic",
"melanocytic": false,
"patient_id": "IP_8686505",
"personal_hx_mm": true,
"sex": "female"
}
{
"age_approx": 60,
"anatom_site_general": "lower extremity",
"concomitant_biopsy": true,
"dermoscopic_type": "contact polarized",
"diagnosis_1": "Benign",
"diagnosis_2": "Benign melanocytic proliferations",
"diagnosis_3": "Nevus",
"diagnosis_4": "Nevus, Atypical, Dysplastic, or Clark",
"diagnosis_5": "Nevus, Clark",
"diagnosis_confirm_type": "histopathology",
"family_hx_mm": false,
"image_type": "dermoscopic",
"melanocytic": true,
"patient_id": "IP_2460769",
"personal_hx_mm": true,
"sex": "female"
}
{
"age_approx": 50,
"anatom_site_general": "posterior torso",
"concomitant_biopsy": true,
"dermoscopic_type": "non-contact polarized",
"diagnosis_1": "Benign",
"diagnosis_2": "Benign soft tissue proliferations - Fibro-histiocytic",
"diagnosis_3": "Scar",
"diagnosis_confirm_type": "histopathology",
"family_hx_mm": false,
"image_type": "dermoscopic",
"melanocytic": false,
"patient_id": "IP_8686505",
"personal_hx_mm": true,
"sex": "female"
}