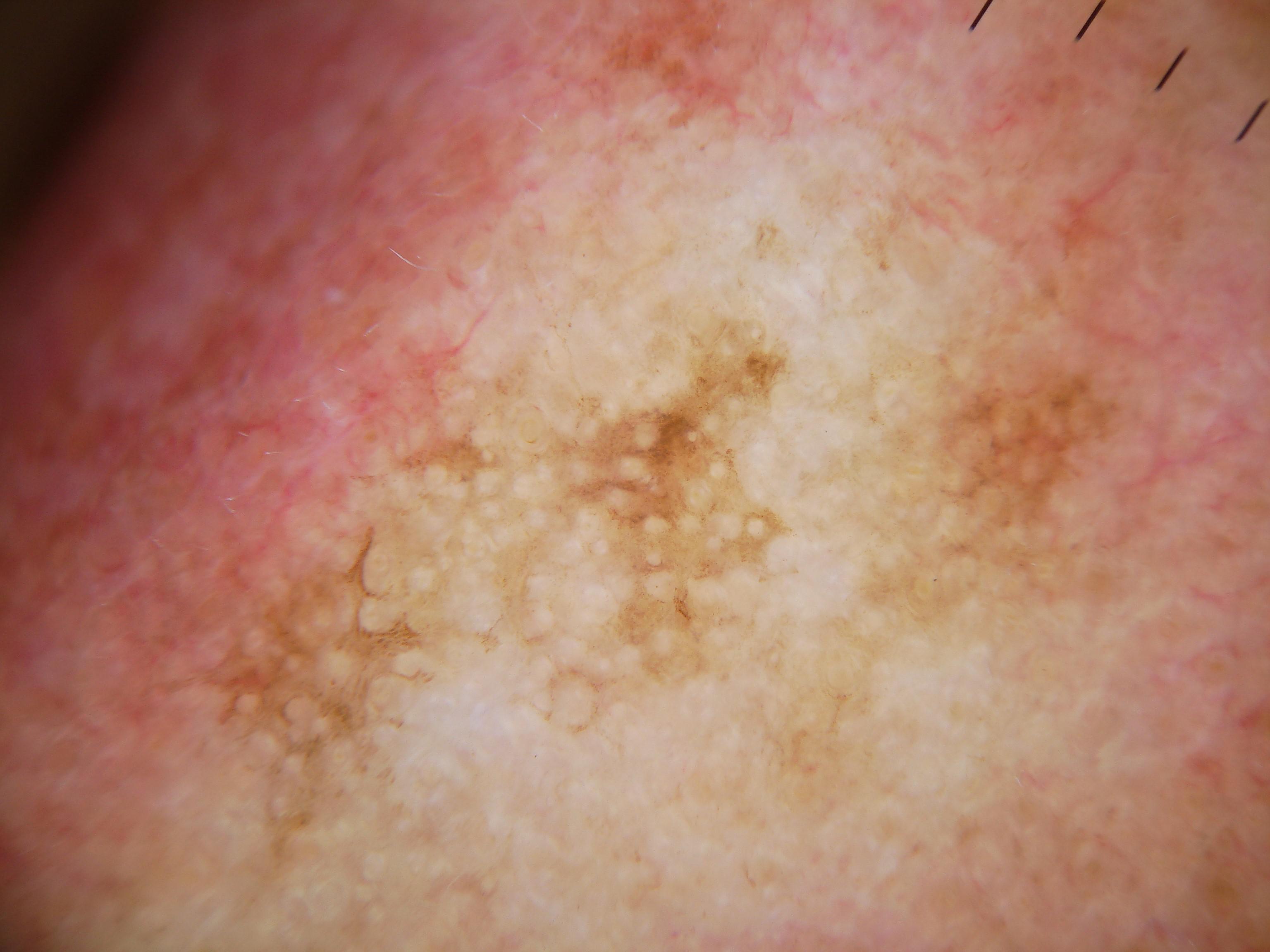
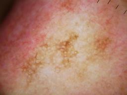
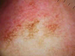
Biopsy-confirmed melanocytic and non-melanocytic skin lesions. This dataset includes over 500 melanomas. Many images have polarized and contact variants.