Description:

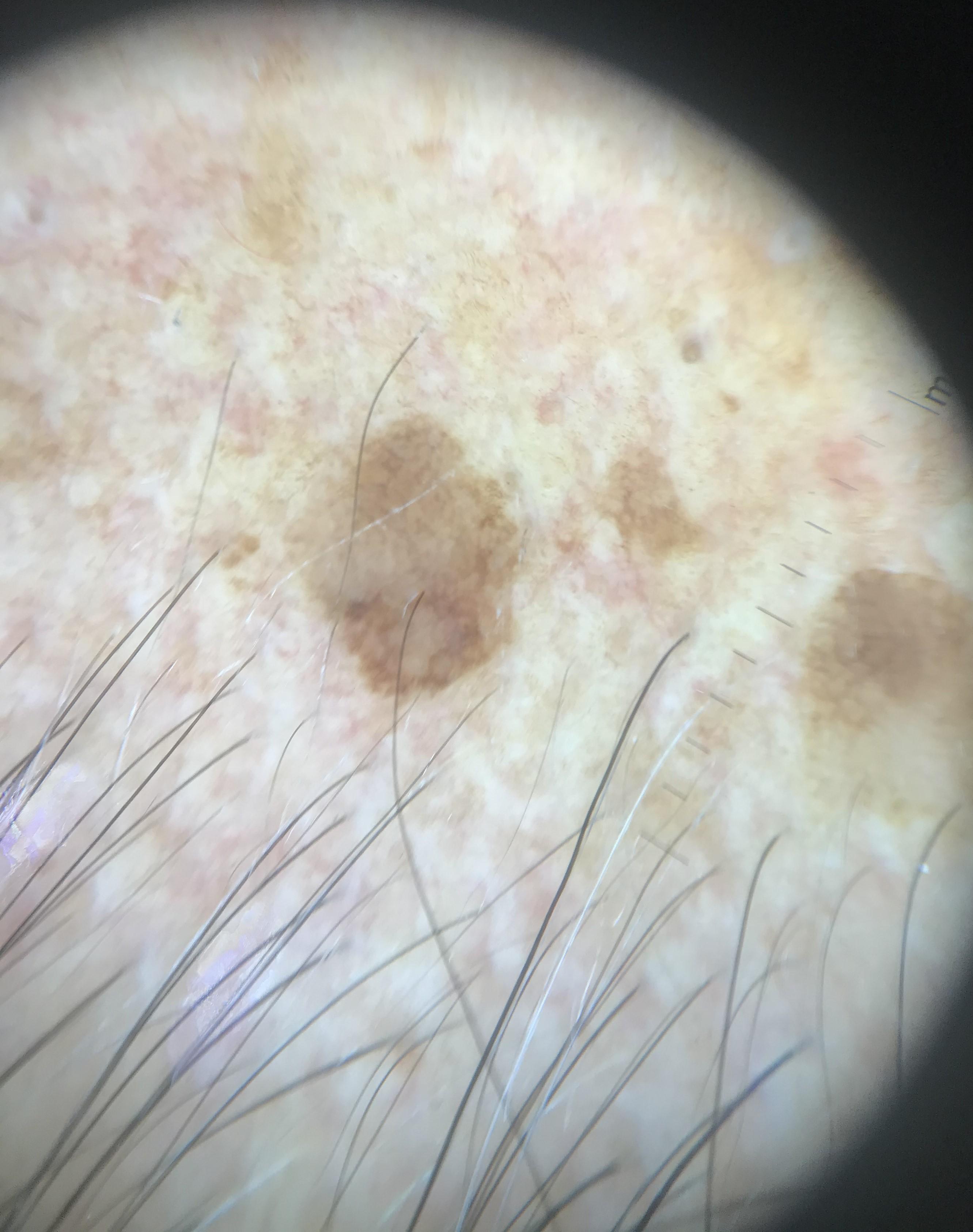
Skin lesion datasets provide essential information for understanding various skin conditions and developing effective diagnostic tools. They aid the artificial intelligence-based early detection of skin cancer, facilitate treatment planning, and contribute to medical education and research. Published large datasets have partially coverage the subclassifications of the skin lesions. This limitation highlights the need for more expansive and varied datasets to reduce false predictions and help improve the failure analysis for skin lesions. This study presents a diverse dataset comprising 12,345 dermatoscopic images with 40 subclasses of skin lesions, collected in Turkiye, which comprises different skin types in the transition zone between Europe and Asia. Each subgroup contains high-resolution images and expert annotations, providing a strong and reliable basis for future research. The detailed analysis of each subgroup provided in this study facilitates targeted research endeavors and enhances the depth of understanding regarding the skin lesions. This dataset distinguishes itself through a diverse structure with its 5 super classes, 15 main classes, 40 subclasses and 12,345 high-resolution dermatoscopic images.

Yilmaz, A., Yasar, S.P., Gencoglan, G. et al. DERM12345: A Large, Multisource Dermatoscopic Skin Lesion Dataset with 40 Subclasses. Sci Data 11, 1302 (2024). https://doi.org/10.1038/s41597-024-04104-3