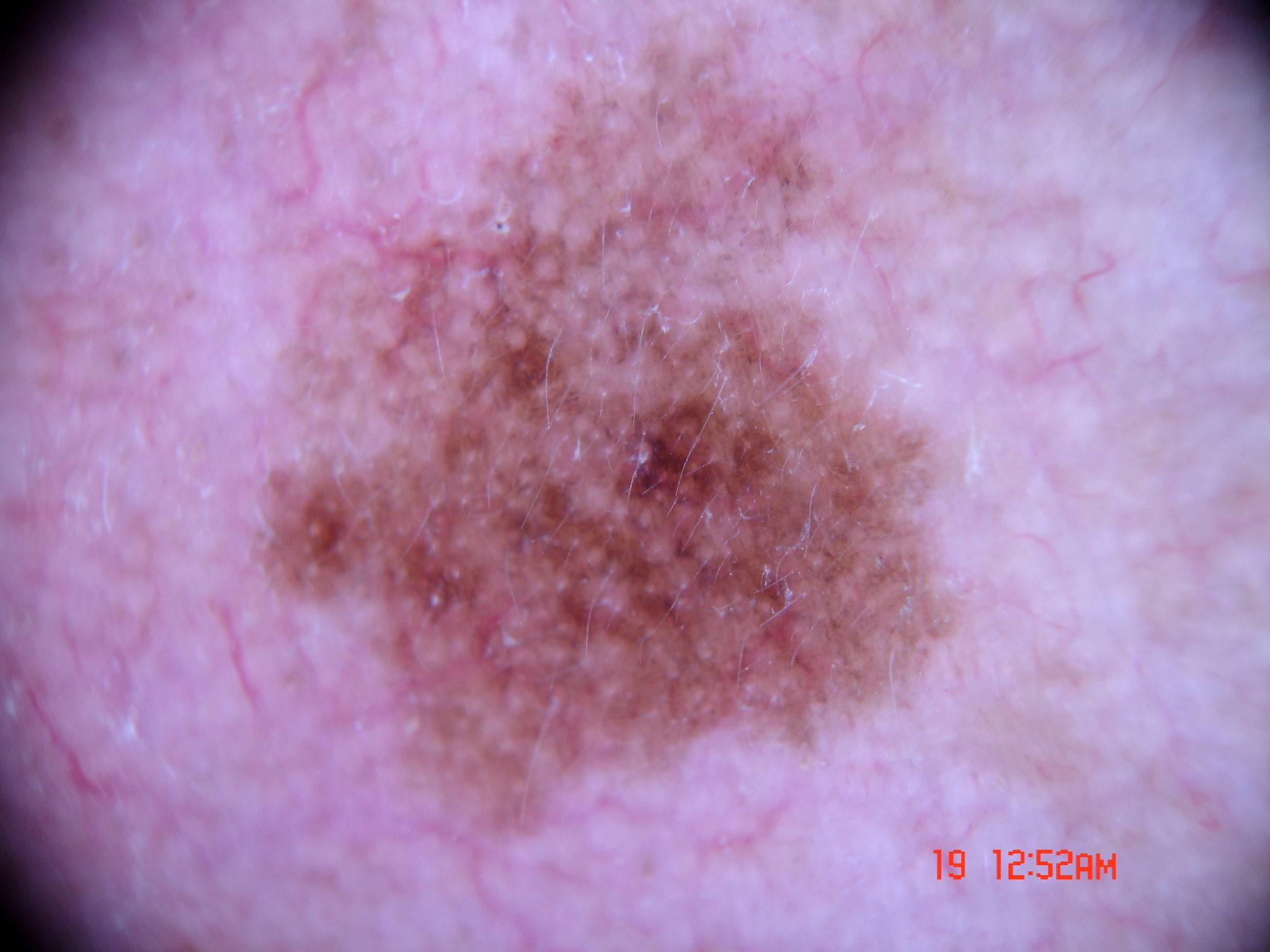
ISIC-DICM-17K (ISIC Dermoscopic Images and Clinical Metadata 17K) is a curated and balanced dataset derived from the International Skin Imaging Collaboration (ISIC) Archive Gallery. It comprises 17,060 dermoscopic images and clinical metadata (8,530 melanoma and 8,530 non-melanoma classes).
For more details, please follow the project’s GitHub repository: https://github.com/mmu-dermatology-research/isic-dicm-17k
This dataset was used in this study and benchmark to explore the effectiveness of multimodal learning for skin lesion classification:
S. Ahammed, X. Cui, W. Lu and M. H. Yap, "Skin Lesion Classification using Dermoscopic Images and Clinical Metadata: Insights from Multimodal Models," 2025 IEEE/CVF Conference on Computer Vision and Pattern Recognition Workshops (CVPRW), Nashville, TN, USA, 2025, pp. 222-230, DOI: 10.1109/CVPRW67362.2025.00027
{
"age_approx": 65,
"anatom_site_general": "upper extremity",
"anatom_site_special": "acral NOS",
"concomitant_biopsy": true,
"dermoscopic_type": "non-contact polarized",
"diagnosis_1": "Malignant",
"diagnosis_2": "Malignant melanocytic proliferations (Melanoma)",
"diagnosis_3": "Melanoma in situ",
"diagnosis_confirm_type": "histopathology",
"family_hx_mm": false,
"image_type": "dermoscopic",
"mel_thick_mm": "0.00",
"melanocytic": true,
"patient_id": "IP_3069248",
"personal_hx_mm": false,
"sex": "male"
}
{
"age_approx": 65,
"anatom_site_general": "upper extremity",
"anatom_site_special": "acral NOS",
"concomitant_biopsy": true,
"dermoscopic_type": "contact non-polarized",
"diagnosis_1": "Malignant",
"diagnosis_2": "Malignant melanocytic proliferations (Melanoma)",
"diagnosis_3": "Melanoma in situ",
"diagnosis_confirm_type": "histopathology",
"family_hx_mm": false,
"image_type": "dermoscopic",
"mel_thick_mm": "0.00",
"melanocytic": true,
"patient_id": "IP_3069248",
"personal_hx_mm": false,
"sex": "male"
}
{
"age_approx": 65,
"anatom_site_general": "upper extremity",
"anatom_site_special": "acral NOS",
"concomitant_biopsy": true,
"dermoscopic_type": "contact non-polarized",
"diagnosis_1": "Malignant",
"diagnosis_2": "Malignant melanocytic proliferations (Melanoma)",
"diagnosis_3": "Melanoma in situ",
"diagnosis_confirm_type": "histopathology",
"family_hx_mm": false,
"image_type": "dermoscopic",
"mel_thick_mm": "0.00",
"melanocytic": true,
"patient_id": "IP_3069248",
"personal_hx_mm": false,
"sex": "male"
}
{
"age_approx": 65,
"anatom_site_general": "upper extremity",
"anatom_site_special": "acral NOS",
"concomitant_biopsy": true,
"dermoscopic_type": "contact polarized",
"diagnosis_1": "Malignant",
"diagnosis_2": "Malignant melanocytic proliferations (Melanoma)",
"diagnosis_3": "Melanoma in situ",
"diagnosis_confirm_type": "histopathology",
"family_hx_mm": false,
"image_type": "dermoscopic",
"mel_thick_mm": "0.00",
"melanocytic": true,
"patient_id": "IP_3069248",
"personal_hx_mm": false,
"sex": "male"
}
{
"age_approx": 65,
"anatom_site_general": "upper extremity",
"concomitant_biopsy": true,
"dermoscopic_type": "contact polarized",
"diagnosis_1": "Malignant",
"diagnosis_2": "Malignant melanocytic proliferations (Melanoma)",
"diagnosis_3": "Melanoma Invasive",
"diagnosis_4": "Melanoma Invasive, Arising in a congenital nevus",
"diagnosis_confirm_type": "histopathology",
"family_hx_mm": false,
"image_type": "dermoscopic",
"mel_thick_mm": "0.44",
"melanocytic": true,
"patient_id": "IP_9310872",
"personal_hx_mm": true,
"sex": "male"
}
{
"age_approx": 65,
"anatom_site_general": "upper extremity",
"anatom_site_special": "acral NOS",
"concomitant_biopsy": true,
"dermoscopic_type": "non-contact polarized",
"diagnosis_1": "Malignant",
"diagnosis_2": "Malignant melanocytic proliferations (Melanoma)",
"diagnosis_3": "Melanoma in situ",
"diagnosis_confirm_type": "histopathology",
"family_hx_mm": false,
"image_type": "dermoscopic",
"mel_thick_mm": "0.00",
"melanocytic": true,
"patient_id": "IP_3069248",
"personal_hx_mm": false,
"sex": "male"
}
{
"age_approx": 65,
"anatom_site_general": "upper extremity",
"anatom_site_special": "acral NOS",
"concomitant_biopsy": true,
"dermoscopic_type": "contact polarized",
"diagnosis_1": "Malignant",
"diagnosis_2": "Malignant melanocytic proliferations (Melanoma)",
"diagnosis_3": "Melanoma in situ",
"diagnosis_confirm_type": "histopathology",
"family_hx_mm": false,
"image_type": "dermoscopic",
"mel_thick_mm": "0.00",
"melanocytic": true,
"patient_id": "IP_3069248",
"personal_hx_mm": false,
"sex": "male"
}
{
"age_approx": 65,
"anatom_site_general": "upper extremity",
"anatom_site_special": "acral NOS",
"concomitant_biopsy": true,
"dermoscopic_type": "contact polarized",
"diagnosis_1": "Malignant",
"diagnosis_2": "Malignant melanocytic proliferations (Melanoma)",
"diagnosis_3": "Melanoma in situ",
"diagnosis_confirm_type": "histopathology",
"family_hx_mm": false,
"image_type": "dermoscopic",
"mel_thick_mm": "0.00",
"melanocytic": true,
"patient_id": "IP_3069248",
"personal_hx_mm": false,
"sex": "male"
}
{
"age_approx": 80,
"anatom_site_general": "anterior torso",
"concomitant_biopsy": true,
"dermoscopic_type": "contact polarized",
"diagnosis_1": "Malignant",
"diagnosis_2": "Malignant melanocytic proliferations (Melanoma)",
"diagnosis_3": "Melanoma in situ",
"diagnosis_confirm_type": "histopathology",
"family_hx_mm": false,
"image_type": "dermoscopic",
"mel_thick_mm": "0.00",
"melanocytic": true,
"patient_id": "IP_4057359",
"personal_hx_mm": false,
"sex": "male"
}
{
"age_approx": 80,
"anatom_site_general": "anterior torso",
"concomitant_biopsy": true,
"dermoscopic_type": "contact non-polarized",
"diagnosis_1": "Malignant",
"diagnosis_2": "Malignant melanocytic proliferations (Melanoma)",
"diagnosis_3": "Melanoma in situ",
"diagnosis_confirm_type": "histopathology",
"family_hx_mm": false,
"image_type": "dermoscopic",
"mel_thick_mm": "0.00",
"melanocytic": true,
"patient_id": "IP_4057359",
"personal_hx_mm": false,
"sex": "male"
}
{
"age_approx": 80,
"anatom_site_general": "anterior torso",
"concomitant_biopsy": true,
"dermoscopic_type": "non-contact polarized",
"diagnosis_1": "Malignant",
"diagnosis_2": "Malignant melanocytic proliferations (Melanoma)",
"diagnosis_3": "Melanoma in situ",
"diagnosis_confirm_type": "histopathology",
"family_hx_mm": false,
"image_type": "dermoscopic",
"mel_thick_mm": "0.00",
"melanocytic": true,
"patient_id": "IP_4057359",
"personal_hx_mm": false,
"sex": "male"
}
{
"age_approx": 35,
"anatom_site_general": "head/neck",
"concomitant_biopsy": true,
"dermoscopic_type": "non-contact polarized",
"diagnosis_1": "Benign",
"diagnosis_2": "Benign soft tissue proliferations - Vascular",
"diagnosis_3": "Angiokeratoma",
"diagnosis_confirm_type": "histopathology",
"family_hx_mm": false,
"image_type": "dermoscopic",
"melanocytic": false,
"patient_id": "IP_2244353",
"personal_hx_mm": false,
"sex": "female"
}
{
"age_approx": 35,
"anatom_site_general": "head/neck",
"concomitant_biopsy": true,
"dermoscopic_type": "contact non-polarized",
"diagnosis_1": "Benign",
"diagnosis_2": "Benign soft tissue proliferations - Vascular",
"diagnosis_3": "Angiokeratoma",
"diagnosis_confirm_type": "histopathology",
"family_hx_mm": false,
"image_type": "dermoscopic",
"melanocytic": false,
"patient_id": "IP_2244353",
"personal_hx_mm": false,
"sex": "female"
}
{
"age_approx": 70,
"anatom_site_general": "lower extremity",
"concomitant_biopsy": true,
"dermoscopic_type": "contact polarized",
"diagnosis_1": "Benign",
"diagnosis_2": "Benign epidermal proliferations",
"diagnosis_3": "Lichen planus like keratosis",
"diagnosis_confirm_type": "histopathology",
"family_hx_mm": false,
"image_type": "dermoscopic",
"melanocytic": false,
"patient_id": "IP_6789269",
"personal_hx_mm": false,
"sex": "female"
}
{
"age_approx": 60,
"anatom_site_general": "lower extremity",
"concomitant_biopsy": true,
"dermoscopic_type": "contact polarized",
"diagnosis_1": "Indeterminate",
"diagnosis_2": "Indeterminate epidermal proliferations",
"diagnosis_3": "Solar or actinic keratosis",
"diagnosis_confirm_type": "histopathology",
"family_hx_mm": false,
"image_type": "dermoscopic",
"melanocytic": false,
"patient_id": "IP_5150575",
"personal_hx_mm": true,
"sex": "male"
}
{
"age_approx": 60,
"anatom_site_general": "lower extremity",
"concomitant_biopsy": true,
"dermoscopic_type": "non-contact polarized",
"diagnosis_1": "Indeterminate",
"diagnosis_2": "Indeterminate epidermal proliferations",
"diagnosis_3": "Solar or actinic keratosis",
"diagnosis_confirm_type": "histopathology",
"family_hx_mm": false,
"image_type": "dermoscopic",
"melanocytic": false,
"patient_id": "IP_5150575",
"personal_hx_mm": true,
"sex": "male"
}
{
"age_approx": 50,
"anatom_site_general": "posterior torso",
"concomitant_biopsy": true,
"dermoscopic_type": "contact polarized",
"diagnosis_1": "Benign",
"diagnosis_2": "Benign melanocytic proliferations",
"diagnosis_3": "Nevus",
"diagnosis_4": "Nevus, Congenital",
"diagnosis_confirm_type": "histopathology",
"family_hx_mm": true,
"image_type": "dermoscopic",
"melanocytic": true,
"patient_id": "IP_1330094",
"personal_hx_mm": false,
"sex": "female"
}
{
"age_approx": 50,
"anatom_site_general": "posterior torso",
"concomitant_biopsy": true,
"dermoscopic_type": "contact non-polarized",
"diagnosis_1": "Benign",
"diagnosis_2": "Benign melanocytic proliferations",
"diagnosis_3": "Nevus",
"diagnosis_4": "Nevus, Congenital",
"diagnosis_confirm_type": "histopathology",
"family_hx_mm": true,
"image_type": "dermoscopic",
"melanocytic": true,
"patient_id": "IP_1330094",
"personal_hx_mm": false,
"sex": "female"
}
{
"age_approx": 30,
"anatom_site_general": "posterior torso",
"concomitant_biopsy": true,
"dermoscopic_type": "contact non-polarized",
"diagnosis_1": "Benign",
"diagnosis_2": "Benign soft tissue proliferations - Fibro-histiocytic",
"diagnosis_3": "Fibroepithelial polyp",
"diagnosis_confirm_type": "histopathology",
"family_hx_mm": false,
"image_type": "dermoscopic",
"melanocytic": false,
"patient_id": "IP_8418996",
"personal_hx_mm": false,
"sex": "male"
}
{
"age_approx": 30,
"anatom_site_general": "posterior torso",
"concomitant_biopsy": true,
"dermoscopic_type": "contact polarized",
"diagnosis_1": "Benign",
"diagnosis_2": "Benign soft tissue proliferations - Fibro-histiocytic",
"diagnosis_3": "Fibroepithelial polyp",
"diagnosis_confirm_type": "histopathology",
"family_hx_mm": false,
"image_type": "dermoscopic",
"melanocytic": false,
"patient_id": "IP_8418996",
"personal_hx_mm": false,
"sex": "male"
}
{
"age_approx": 30,
"anatom_site_general": "posterior torso",
"concomitant_biopsy": true,
"dermoscopic_type": "non-contact polarized",
"diagnosis_1": "Benign",
"diagnosis_2": "Benign soft tissue proliferations - Fibro-histiocytic",
"diagnosis_3": "Fibroepithelial polyp",
"diagnosis_confirm_type": "histopathology",
"family_hx_mm": false,
"image_type": "dermoscopic",
"melanocytic": false,
"patient_id": "IP_8418996",
"personal_hx_mm": false,
"sex": "male"
}
{
"age_approx": 30,
"anatom_site_general": "posterior torso",
"concomitant_biopsy": true,
"dermoscopic_type": "non-contact polarized",
"diagnosis_1": "Benign",
"diagnosis_2": "Benign soft tissue proliferations - Fibro-histiocytic",
"diagnosis_3": "Fibroepithelial polyp",
"diagnosis_confirm_type": "histopathology",
"family_hx_mm": false,
"image_type": "dermoscopic",
"melanocytic": false,
"patient_id": "IP_8418996",
"personal_hx_mm": false,
"sex": "male"
}
{
"age_approx": 30,
"anatom_site_general": "posterior torso",
"concomitant_biopsy": true,
"dermoscopic_type": "contact non-polarized",
"diagnosis_1": "Benign",
"diagnosis_2": "Benign soft tissue proliferations - Fibro-histiocytic",
"diagnosis_3": "Fibroepithelial polyp",
"diagnosis_confirm_type": "histopathology",
"family_hx_mm": false,
"image_type": "dermoscopic",
"melanocytic": false,
"patient_id": "IP_8418996",
"personal_hx_mm": false,
"sex": "male"
}
{
"age_approx": 40,
"anatom_site_general": "lower extremity",
"concomitant_biopsy": true,
"dermoscopic_type": "contact non-polarized",
"diagnosis_1": "Malignant",
"diagnosis_2": "Malignant melanocytic proliferations (Melanoma)",
"diagnosis_3": "Melanoma Invasive",
"diagnosis_confirm_type": "histopathology",
"family_hx_mm": true,
"image_type": "dermoscopic",
"mel_thick_mm": "0.27",
"melanocytic": true,
"patient_id": "IP_2692688",
"personal_hx_mm": false,
"sex": "female"
}
{
"age_approx": 40,
"anatom_site_general": "lower extremity",
"concomitant_biopsy": true,
"dermoscopic_type": "contact polarized",
"diagnosis_1": "Malignant",
"diagnosis_2": "Malignant melanocytic proliferations (Melanoma)",
"diagnosis_3": "Melanoma Invasive",
"diagnosis_confirm_type": "histopathology",
"family_hx_mm": true,
"image_type": "dermoscopic",
"mel_thick_mm": "0.27",
"melanocytic": true,
"patient_id": "IP_2692688",
"personal_hx_mm": false,
"sex": "female"
}
{
"age_approx": 40,
"anatom_site_general": "lower extremity",
"concomitant_biopsy": true,
"dermoscopic_type": "non-contact polarized",
"diagnosis_1": "Malignant",
"diagnosis_2": "Malignant melanocytic proliferations (Melanoma)",
"diagnosis_3": "Melanoma Invasive",
"diagnosis_confirm_type": "histopathology",
"family_hx_mm": true,
"image_type": "dermoscopic",
"mel_thick_mm": "0.27",
"melanocytic": true,
"patient_id": "IP_2692688",
"personal_hx_mm": false,
"sex": "female"
}
{
"age_approx": 80,
"anatom_site_general": "head/neck",
"concomitant_biopsy": true,
"dermoscopic_type": "contact non-polarized",
"diagnosis_1": "Malignant",
"diagnosis_2": "Malignant adnexal epithelial proliferations - Follicular",
"diagnosis_3": "Basal cell carcinoma",
"diagnosis_confirm_type": "histopathology",
"family_hx_mm": false,
"image_type": "dermoscopic",
"melanocytic": false,
"patient_id": "IP_9168855",
"personal_hx_mm": true,
"sex": "male"
}
{
"age_approx": 85,
"anatom_site_general": "upper extremity",
"concomitant_biopsy": true,
"dermoscopic_type": "contact polarized",
"diagnosis_1": "Malignant",
"diagnosis_2": "Malignant melanocytic proliferations (Melanoma)",
"diagnosis_3": "Melanoma Invasive",
"diagnosis_confirm_type": "histopathology",
"family_hx_mm": false,
"image_type": "dermoscopic",
"mel_thick_mm": "0.18",
"melanocytic": true,
"patient_id": "IP_0637283",
"personal_hx_mm": false,
"sex": "male"
}
{
"age_approx": 40,
"anatom_site_general": "upper extremity",
"concomitant_biopsy": true,
"dermoscopic_type": "contact non-polarized",
"diagnosis_1": "Benign",
"diagnosis_2": "Benign melanocytic proliferations",
"diagnosis_3": "Nevus",
"diagnosis_4": "Nevus, Atypical, Dysplastic, or Clark",
"diagnosis_5": "Nevus, Clark",
"diagnosis_confirm_type": "histopathology",
"family_hx_mm": false,
"image_type": "dermoscopic",
"melanocytic": true,
"patient_id": "IP_2605994",
"personal_hx_mm": true,
"sex": "female"
}
{
"age_approx": 40,
"anatom_site_general": "upper extremity",
"concomitant_biopsy": true,
"dermoscopic_type": "non-contact polarized",
"diagnosis_1": "Benign",
"diagnosis_2": "Benign melanocytic proliferations",
"diagnosis_3": "Nevus",
"diagnosis_4": "Nevus, Atypical, Dysplastic, or Clark",
"diagnosis_5": "Nevus, Clark",
"diagnosis_confirm_type": "histopathology",
"family_hx_mm": false,
"image_type": "dermoscopic",
"melanocytic": true,
"patient_id": "IP_2605994",
"personal_hx_mm": true,
"sex": "female"
}